Jump to:

Shape the new era.

Theranostics and other novel drug therapies make truly targeted treatments possible for the very first time. To realize this potential, an imaging system is needed that shortens patients’ pathways to a precise diagnosis and timely treatment.

Introducing BIOGRAPH One – the game-changing PET/MR scanner that shapes a new era for one simplified patient-centric pathway.

BIOGRAPH One MRI System

Benefits

BIOGRAPH One

Benefits

Impact clinical care

BIOGRAPH One supports one patient-centric pathway to personalized care. By seamlessly integrating PET and MR into one comprehensive exam, it supports clinicians from diagnosis and staging through a personalized therapy decision to regular therapy assessments, to excel precision and support one streamlined approach.

Image courtesy of University Hospital of Erlangen, Erlangen, Germany. | Study-ID: 2aaaa3604

Excel PET precision

BIOGRAPH One excels in PET/MR precision to support confident diagnostic decisions. Featuring the Optiso UDR Pro detector with the largest 35 cm axial FOV2 and the best time resolution2 in PET/MR, it enables comprehensive capture with excellent sensitivity and ultra-fast TOF3 in real time – delivering exceptionally clear, detailed images even in low-dose settings.

Accelerate MR performance

With Deep Resolve for accelerated acquisition and improved resolution in 2D and 3D applications4, BIOGRAPH One makes PET/MR exams faster than ever before. With an exceptional 3T magnet at its heart, BIOGRAPH One delivers unparalleled performance with outstanding homogeneity, a large 55 x 55 x 50 cm³ field of view and robust gradient power.

Study-ID: 2aaaa3347

Speed up patient positioning

BIOGRAPH One makes PET/MR patient positioning easier and more efficient so operators can spend more time on patient care. New BioMatrix Contour Coils enable operators to reduce setup times and minimize exposure to radiation. Starting the exam directly at the scanner further streamlines the workflow.

Simplify scan workflow

BIOGRAPH One simplifies the entire PET/MR scanning workflow with myExam Companion: an intuitive interface assisting operators with advanced automation features for PET and MR familiar planning. myExam Companion empowers operators of all experience levels with simplicity and consistency, while new acquisition modes provide a tailored scanning mode for each patient and condition.

Reduce patient slot time by > 50%

BIOGRAPH One reduces patient slot times by more than 50% to under 30 minutes5 for standard whole-body exams, including dedicated brain protocols. With up to 5x faster positioning5 and 2x faster acquisition5, BIOGRAPH One establishes PET/MR as a standard clinical modality, aligning patient slot times with typical clinical workflows.

Evidence

BIOGRAPH One – transform PET/MR image quality for a new era


Discover the future of personalized imaging with BIOGRAPH One, where high PET precision meets powerful MR performance. Equipped with the innovative Optiso UDR Pro PET detector and a state-of-the-art 3T magnet, this system enhances small lesion detectability and delivers great soft tissue clarity. Delivering precise quantification, ultra-fast time-of-flight3 performance, and high-quality MR imaging, BIOGRAPH One supports a more patient-centric pathway. Shape the new era in PET/MR and explore the possibilities below.

Diagnosis and Staging

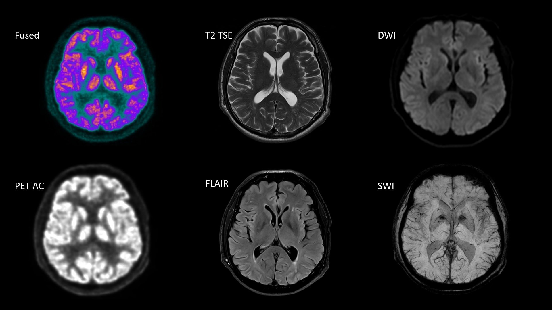
One stop shop multiparametric imaging for investigation of dementia

63-year-old male patient
Normal brain metabolism

  • Injected dose: 184 MBq i.v.

  • Uptake time: 76 min p.i.

  • Sequences: T1 VIBE, T1 MPRAGE, FLAIR, DWI, SWI, T2 TSE

  • MR TA: 12:20 min

  • PET TA: 24:00 min6

Study-ID: 2aaaa3339 | Image courtesy of RIGS Hospital, Copenhagen, Denmark.

BIOGRAPH One Evidence - Diagnosis and Staging

Therapy assessment

Follow up PET/MR images show complete regression of follicular lymphoma after 15 months post immunotherapy.

  • 75-year-old male patient, 62kg

  • Injected dose: 184 MBq i.v.

  • Uptake time: 79 min p.i.

  • Sequences: MRAC (VIBE-DIXON), DWI

  • MR TA: 5:40 min (1:25 min per bed)

  • PET TA: 20 min (5 min per bed) 7

  • Total scan range: 110 cm (4 beds)

Study-ID: 2aaaa3340 | Image courtesy of RIGS Hospital, Copenhagen, Denmark

 

BIOGRAPH One Evidence - Therapy assessment

BIOGRAPH One is equipped with:


Full 3T performance
– Full 3T performance, with excellent B0 homogeneity, a large FOV and a strong gradient power 

Deep Resolve – Faster than ever before – cutting down PET/MR acquisition times

BioMatrix Technology – BioMatrix sensors and new BioMatrix Contour XL Coil for simplified workflow

Open Recon architecture6 – Run custom reconstruction algorithms inline

State-of-the-art PET detector – LSO-based Optiso UDR Pro digital detector providing 187 ps ultra-fast time of flight3 (TOF) for small lesion detectability, for high system performance, under increased gradient loads

Largest axial FOV in PET/MR – 35 cm of aFOV for greater coverage and increased productivity2

Simplified user interface with myExam Companion – All PET/MR planning integrated in one true single workflow, offering an intuitive user experience with end-to-end workflow automation

Innovative WB scanning modes – myExam SinglePass & MultiPass offering flexibility and efficiency, tailored to each patient’s needs

MR BIOGRAPH One 001 IMAGE 25 reflection-1
GET IN TOUCH

Contact us today to learn more about how we can help you solve your most pressing challenges.

1 Acquired on BIOGRAPH mMR. Images from BIOGRAPH mMR are provided to illustrate typical PET/MR imaging capabilities and are not specific to BIOGRAPH One.

2 Compared to other PET/MR systems. Data on file.

3 Ultra-fast time of flight (TOF) is defined as less than 275 picoseconds (ps). Data on file.

4 In combination with acceleration techniques as e.g. PAT4.

5 Preliminary data based on an internal single measurement. Patient slot time is defined as time in PET/MR exam room. Data on file.

6 Open Recon is to add clinical reconstructions to the system, if signed and released for clinical use by Siemens Healthineers. Any other image reconstruction used, e.g., by researchers, is automatically labelled not for diagnostic use, which may require observation of national regulations.

7 For testing IQ purposes.