Jump to:

Empowering you.

Introducing MAGNETOM Flow. Platform, the next-generation 1.5T MRI from Siemens Healthineers that ushers in a new era of AI-powered, helium-independent1 MRI.

The MAGNETOM Flow. Platform empowers you with intelligent workflows and deep learning to bring the highest quality results at the fastest speeds while delivering the latest helium, siting and energy savings. The first fully scalable 70cm system, the MAGNETOM Flow. Platform can transform as patient andhealthcare needs evolve.

Smart with an intelligent, AI-powered workflow.
Simple with automation that reduces MRI complexity.
Sustainable with savings on helium, siting and energy.

MAGNETOM Flow. Platform is a revolutionary new flow in MRI that empowers you to perform like never before!

MR-MAGNETOM-Flow--Platform--70--M
MAGNETOM FLOW. Platform

Benefits

Helium-independent MRI

MAGNETOM Flow. Platform introduces a truly sustainable, helium-free solution at 1.5T. With only 0.7L of liquid helium and DryCool technology, the sealed-for-life magnet design requires no helium refills.

Siemens Healthineers’s easiest-to-site MRI

With no quench pipe and an ultra-compact footprint of only 25m2, MAGNETOM Flow. Platform empowers healthcare providers to meet the increasing demand for MRI. By enabling cost-effective siting, the system unlocks the possibility to deploy scanners in challenging spaces.

The most energy-efficient 1.5T MRI from Siemens Healthineers

MAGNETOM Flow. Platform expands sustainability beyond helium. In addition to DryCool technology, the system provides annual energy savings of up to 56%2, achieved through unique features like the smart System Timer and EcoPower Mode Pro.

Complete patient-side workflow

Patient registration, positioning and scan initiation can be performed right at the patient’s side, giving operators greater efficiency and time to focus on patient care. To further enhance patient comfort, the system is equipped with BioMatrix Contour coils with integrated sensors, enabling the scanner to adapt seamlessly to each patient, ultimately simplifying workflow.

Intelligent and simplified guidance

Enabled by the power of AI, myExam Companion guides users of all skill levels through the entire workflow. Whether it’s a true push-button scan with myExam Autopilot for routine procedures, or intelligent guidance and automation with myExam Assist for more advanced examinations, the software supports more than 90%3 of body regions.

Clinical excellence

MAGNETOM Flow. Platform delivers the highest quality imaging for every clinical discipline. From routine to advanced imaging, from head to toe and from cardiac to oncology cases, the scanner adapts to a wide range of imaging needs. Regardless of the type of institution, throughput demand or clinical specialty, MAGNETOM Flow. Platform empowers you to achieve clinical excellence.

Unrivaled speed with Deep Resolve

Deep Resolve, an AI powered tool used to boost signal and resolution, enables you to exploit advanced acceleration techniques while maintaining extraordinary clarity. Faster scans, faster results, better patient experience!

Maximized operational efficiency

MAGNETOM Flow. Platform integrates seamlessly into any healthcare set-up from day one. The system utilizes software tools to harmonize the platform across an entire fleet, ultimately driving performance and uptime.

Ready for the future

MAGNETOM Flow. Platform is planned to be uniquely upgradeable and seamlessly adaptable to meet any clinical need, providing unparalleled flexibility and future-proofing for evolving healthcare demands. With MAGNETOM Flow. Platform, you will be able to upgradey our channel configuration, gradient strength and patient table.

Evidence

Clinical excellence every day


The MAGNETOM Flow. Platform delivers outstanding image quality. From routine imaging and screening to advanced imaging, this translates into uncompromised clinical excellence. Powered by unique innovations in the field of image acquisition and deep learning-based reconstruction, MAGNETOM Flow. Platform delivers excellent diagnostic quality for your clinical MRI applications.

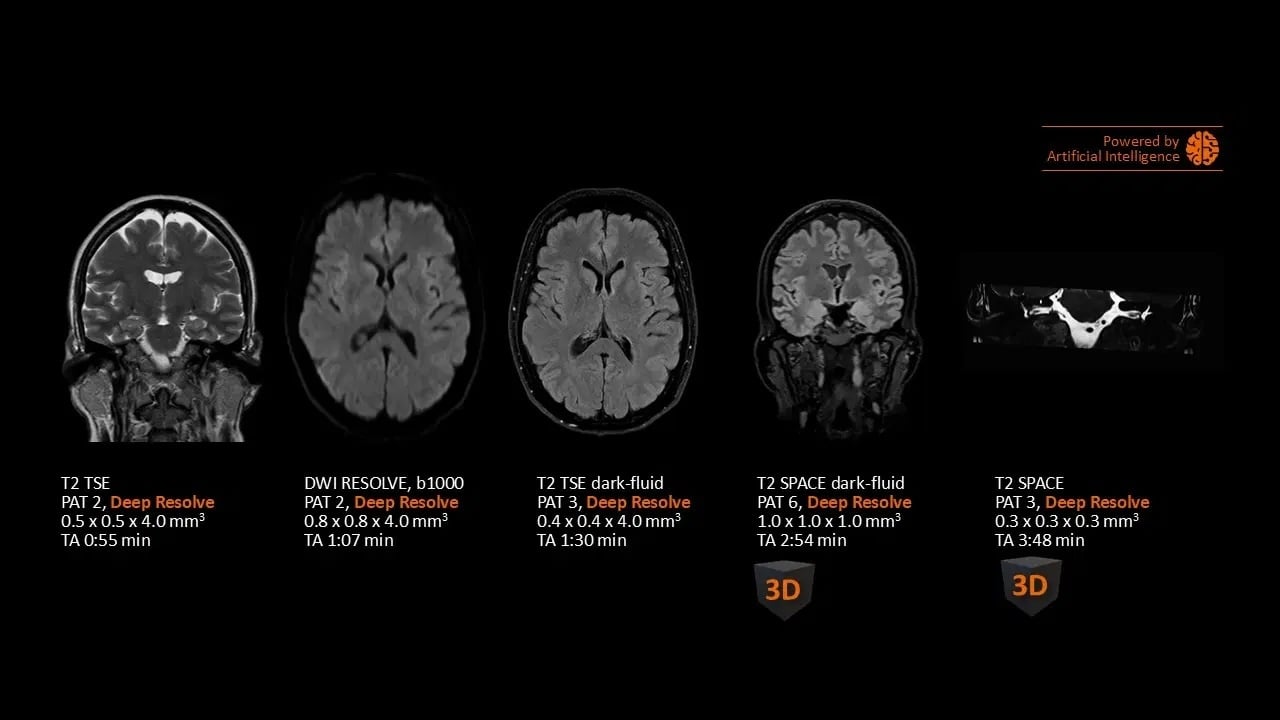
Head

Head exam with Deep Resolve 2D and 3D

Study-ID:1aaaa5199. Acquired on MAGNETOM Flow. Platform with 70cm.

MAGNETOM Flow. Platform Head

Cardiac

Advanced cardiac imaging with highly automated CMR scans

Study-ID:1aaaa5329. Acquired on MAGNETOM Flow. Platform with 70cm.

MAGNETOM Flow. Platform Cardiac

Spine

Fast routine spine imaging with Deep Resolve

Study-ID:1aaaa5197. Acquired on MAGNETOM Flow. Platform with 70cm.

MAGNETOM Flow. Platform Spine

Liver

High-resolution liver imaging with Deep Resolve

Study-ID:1aaaa5325. Acquired on MAGNETOM Flow. Platform with 70cm.

MAGNETOM Flow. Platform Liver

Prostate

Fast and high-resolution prostate imaging with Deep Resolve

Study-ID:1aaaa5213. Acquired on MAGNETOM Flow. Platform with 70cm.

MAGNETOM Flow. Platform Prostate

MSK

High resolution orthopedic imaging at 1.5T with Deep Resolve

Study-ID:1aaaa5194. Acquired on MAGNETOM Flow. Platform with 70cm.

MAGNETOM Flow. Platform MSK

Women's Health

HFaster and higher resolution breast images with Deep Resolve

Study-ID:1aaaa5214. Acquired on MAGNETOM Flow. Platform with 70cm.

MAGNETOM Flow. Platform Womens Health

Whole Body

Whole body MRI exam with MET-RADs protocols

Study-ID:1aaaa5316. Acquired on MAGNETOM Flow. Platform with 70cm.

MAGNETOM Flow. Platform Whole Body

Technical Details

Magnet System
Field strength 1.5 Tesla
Bore size 70 cm
Footprint 25m2
GET IN TOUCH

Contact us today to learn more about how we can help you solve your most pressing challenges.

1  0.7 l of liquidhelium.

2  Data on file. Values based onpreliminary measurements. Results were achieved by Siemens Healthineers usingboth standard and optional features. There can be no ‘typical’ hospital setting(case mix, system type, etc.) and so results by users may vary with noguarantee that the same results can be achieved.

3  Data on file.