Trend Report
How Contrast Changed the Game for Liver Ultrasound in the US
The Food and Drug Administration’s approval of contrast in ultrasound for liver lesions not only provides a new revenue stream for imaging providers, but also streamlines patient care and sets the stage for new clinical applications.
“Ultrasound has grown leaps and bounds since I started in the field two decades ago. However, until now, we had not evolved beyond the ability to obtain better pictures. We got prettier pictures but not many new diagnostic tools. This has changed, thanks in part to contrast-enhanced ultrasound.”
This quote comes from Brian McDaniel, BSRT, RDMS, RVT, RDCS, a Senior Clinical Sales Specialist for Siemens Healthineers. He’s been at the forefront of modern innovations in the ultrasound field and, according to him, we stand on the cusp of a veritable revolution.
“We're going to actually see ultrasound get more and more attention in the United States and more notoriety for what we can do. And one of those things that's going to help us do that is contrast.”
You're reading Cassling's Trend Report on the use of contrast in liver ultrasound. Scroll down to read the complete report.
Prefer a PDF? Click the button to download now!
Although it has been available throughout the rest of the world for more than 20 years, the use of contrast in ultrasound was only approved by the Food and Drug Administration in 2016. As of summer 2017, contrast for abdominal ultrasound has only been approved for imaging adult and pediatric focal lesions in the liver, plus evaluation of vesicoureteral reflex via contrast injection into the bladder.
Many leaders in the ultrasound field believe there will be additional applications approved sooner rather than later. In this Cassling trend report, Brian explains how contrast is being used in the diagnosis of liver lesions and its impact on imaging providers and patients.
Since the contrast agent isn’t toxic to the kidneys and is an intravascular agent, patients with decreased renal function can submit to an ultrasound test using contrast and the care team won’t have to worry about the contrast causing further damage to the patient’s kidneys.
This opens the door for non-invasive diagnoses for many patients who would not be a candidate for other modalities. There are also few contraindications for using contrast, meaning more individuals can get a quick, non-invasive and accurate diagnosis.
In today’s healthcare environment, being able to offer the same accurate diagnosis while spending less money to do so is an attractive benefit of contrast-enhanced ultrasound.
Medicare reimbursement for the use of contrast has already been established, making it an enticing new revenue source for many facilities. Now, for less cost, imaging providers can diagnose many patients and do it in a non-ionizing, noninvasive way using ultrasound—which is a win-win for patients and providers.
As the use of contrast in liver ultrasound becomes more widespread, it will be possible to optimize care plans, relieving patients and their providers of the stress of numerous modalities.

With contrast, it’s often possible for someone with a suspicious lesion to take one test: an ultrasound. Then, if the results are conclusive, they don’t need other expensive procedures. That’s quite different from the norm, where the patient may first get an X-ray, then an ultrasound followed by other diagnostic exams before having a biopsy. Being able to offer contrast-enhanced ultrasound can not only benefit patients, but providers as well.
“We are still going to have to conduct biopsies, but through the use of contrast-enhanced ultrasound, we can begin to better identify the lesions that need immediate intervention and those that can be followed up with diagnostic testing and monitoring," said Brian.
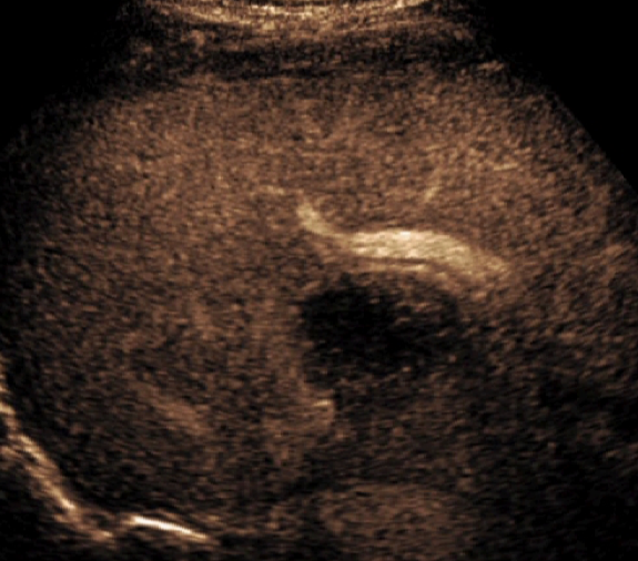
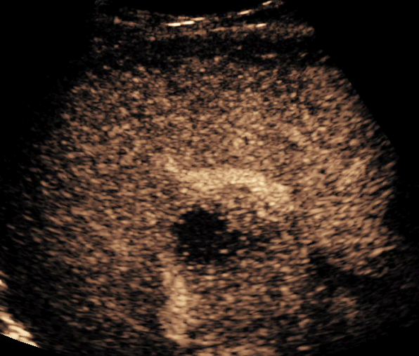
“The contrast agent is a microbubble,” Brian said. “It is a contrast agent composed of a lipid shell that surrounds a heavy gas.”
These microbubbles react in a non-linear fashion when insonated by an ultrasound beam, and it is this non-linear response that allows us to separate signals originating from the contrast and those coming from the tissue itself. When the tissue and contrast signals are processed, we can separate them from each other so only contrast data is presented to the user for better contrast detection.

Using Siemens Healthineers ultrasound equipment, these bubbles can be imaged in two distinct contrast-based imaging modes: contrast pulse sequencing and contrast harmonic imaging.

According to Brian, “CPS has a three-pulse sequence that allows us to get deeper into the body. You can see the bubbles a little quicker and they look bigger than they would in the alternate mode. It’s going to provide a better penetration of the ultrasound, making it ideal for most scans involving adults.”

“CHI gives us a higher resolution image for evaluating smaller lesions or lesions with smaller vessels,” said Brian.
Once the procedure is in progress, the contrast goes through three distinct perfusion phases that last up to six minutes. These include the arterial, portal and late phases.

During this phase, the contrast enters the arteries of the liver to begin the imaging. Being a dynamic modality, a sonographer can capture this early flow consistently.
“The arterial phase is important for a lesion such as a focal nodular hyperplasia,” said Brian. “You'll see a central feeder artery and the vessels that branch off of it, like spokes off of a wheel.”
Missing this early phase, which can be common with other modalities, is not a concern when using contrast-enhanced ultrasound.

Once the arterial phase is complete, the ultrasound professional can begin to visualize the contrast flowing through the portal system and filling the liver.
“It is important to see both the arterial and portal phases to be able to accurately diagnose a lesion. Again, being a dynamic modality, you can visualize the flow of contrast in each separate phase without worrying about missing anything,” said Brian.

During the final phase, the liver takes in as much contrast as possible until it reaches equilibrium and starts to wash out.
“Different lesions show different filling patterns, with some lesions, such as large hemangiomas, for example, taking a long amount of time to completely fill with contrast.”
Each of these phases is very important for accurate diagnosis. Throughout the procedure, you can monitor the contrast to determine where the bubbles travel, how fast the lesion fills, how quickly it washes out, etc., all in a real-time manner. That makes this type of imaging incredibly versatile.
Although the FDA has thus far only approved three uses of contrast in ultrasound, many imaging providers believe that the flood gates are about to open wide for other applications.
“I think we are going to see a renaissance in ultrasound again. When I first started, the big innovations were Doppler and color as well as harmonic imaging. We couldn’t believe all that we could do with these technologies. I believe contrast is the next level of ultrasound. It's giving us more data beyond what we see with our naked eye.
“With contrast and other new technologies, such as Virtual Touch elastography, we will do more than just describe what a lesion looks like. We will be able to tell how stiff a lesion is as well as how it responds to contrast. We will really be able to characterize a lesion and offer personalized ultrasound.”
To Brian, the possibilities of contrast in ultrasound are quite promising, and he can’t wait to see where it will go.
Ready for product or pricing information?
Contact the local Cassling/Siemens PSE in your state.
Join our list to be the first to learn about educational events and product/industry news.

Copyright © 2026 Cassling
All Rights Reserved.
Privacy Policy. Compliance Policy.
EEO Policy.